Οι γιατροί κατάφεραν να αφαιρέσουν την καρφίτσα από τα πνευμόνια του κοριτσιού
Μία 12χρονη στη Θεσσαλονίκη κατάπιε καρφίτσα, σκορπίζοντας τον τρόμο στην οικογένειά της.
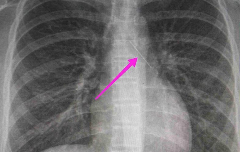
Από την απεικονιστική διερεύνηση που πραγματοποιήθηκε με ακτινογραφία θώρακος αρχικά και ακολούθως με αξονική τομογραφία θώρακος, διαπιστώθηκε η ύπαρξη αιχμηρού μεταλλικού ξένου σώματος στην αναπνευστική οδό (αριστερός κύριος βρόγχος) και όχι στην πεπτική οδό.
Η ανήλικη υπεβλήθη σε βρογχοσκόπηση και διαπιστώθηκε η μετακίνηση και ενσφήνωση της καρφίτσας στον δεξιό κύριο βρόγχο. Μετά οπό εργώδεις προσπάθειες ολοκληρώθηκε με επιτυχία η αφαίρεσή της.
Τι λένε οι γιατροί
Ο Αργύρης Μαγγανάρης, Ωτορινολαρυγγολόγος του Ιπποκράτειου Νοσοκομείο Θεσσαλονίκης, δήλωσε στο MEGA ότι πρόκειται για ένα συνηθισμένο περιστατικό, εκείνο όμως που προβληματίζει είναι η ηλικία του κοριτσιού.

«Η ιδιαιτερότητα του περιστατικού έγκειται στη φύση του ξένου σώματος και την ηλικία της. Η πλειοψηφία των ασθενών μας είναι από 3 έως 5 ετών. Τα παιδιά συνηθίζουν, ιδιαίτερα σε μικρές ηλικίες, να βάζουν αντικείμενα στο στόμα τους, παιχνίδια, τροφές, πράγματα που αναζητούν στο σπίτι. Το κορίτσι είχε την καρφίτσα στα χείλη της, ίσως έπαιζε, συνήθως κάποιος το παρατηρεί και θορυβείται, τρομάζει αυτόν που το έχει στο στόμα, γίνεται έντονη εισπνευστική προσπάθεια και καταλήγει στον αεραγωγό» εξήγησε.
Το κορίτσι μεταφέρθηκε αμέσως στο νοσοκομείο και οι γιατροί εντόπισαν αρχικά την καρφίτσα στον αριστερό βρόγχο, στον αυλό που οδηγεί στον πνεύμονα. Όταν όμως έγινε η βρογχοσκόπηση, βρέθηκε στον άλλον βρόγχο.
Οι γιατροί κατάφεραν να αφαιρέσουν την καρφίτσα από τα πνευμόνια του κοριτσιού.










